Close-up of a black background with echo icon white concentric rainbow-shaped lines. Brighton Veterinary Cardiology.
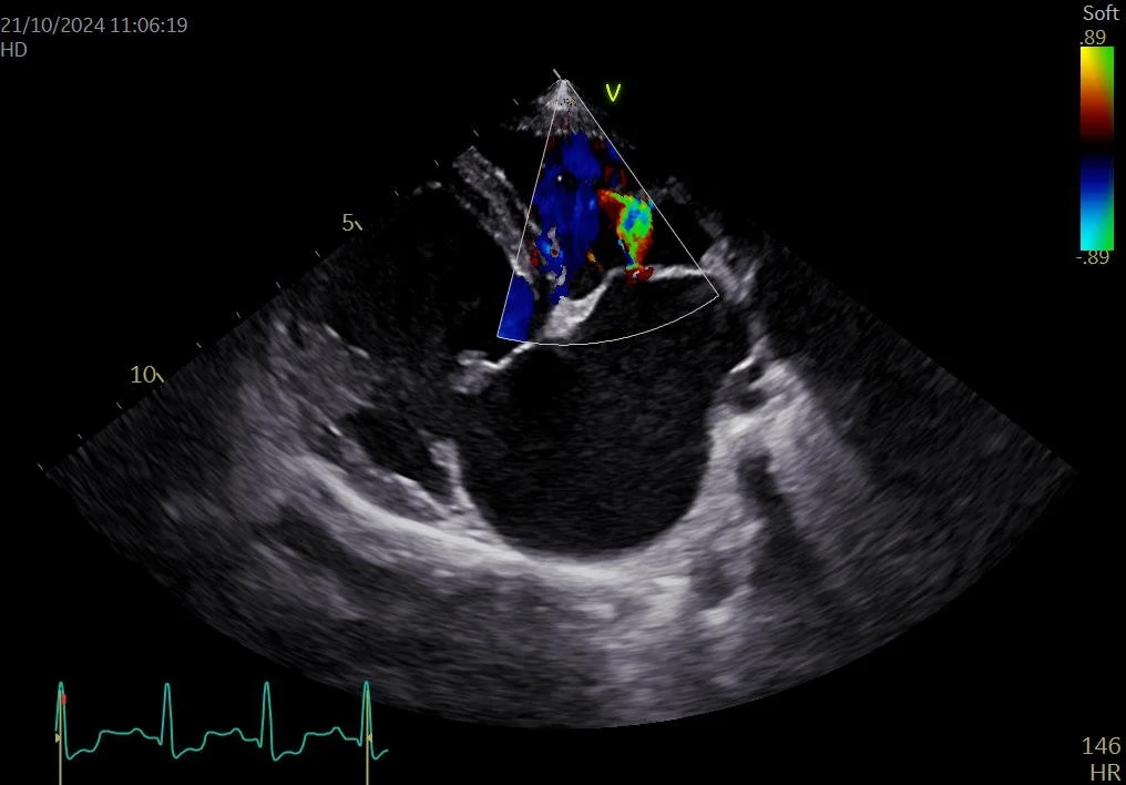
Echo acquired interatrial septal defect in dog with myxomatous mitral valve disease

South East Cardiology Club

The South East Cardiology club meets six monthly and is open to veterinary surgeons and nurses with an interest in cardiology.

We offer an informal setting for clinicians to present and discuss interesting cases and themes in veterinary cardiology. Please contact us if you would be interested in attending the South East Cardiology Club.

Last Cardiology Club Wednesday 22nd April

Thank you for great presentations from:

  • Altin Cala (NDSR / AltinVet)

    • When a left-to-right shunting PDA may not be suitable for closure

  • Adam Quigley (AQ Cardiology)

    • Myxomatous mitral valve disease with complications

  • Steve Carter (Priory Vets)

    • Minimalist management of a cat in heart failure 

As always these presentations generated a lot of interesting discussion. If you are interested in joining in the future please do get in touch!

Further information

Cardiology meetings & CPD

Owner FAQs

Clinical research